国家三级甲等综合医院

国家住院医师规范化培训基地

中国科学院赵继宗院士工作站

四川省院士工作站

急救电话:0839-3333333

患者版
您现在的位置:首页 - 科普专栏 - 健康知识

智齿要不要拔? 看这篇就知道了

发布时间:2026-01-09  来源:口腔科  点击量:34

一、什么是智齿?

智齿,医学上称为第三磨牙,是人类口腔内最晚萌出的牙齿,通常会在17至25岁之间长出,正值心智趋于成熟的年纪,“智齿”之名由此而来。在人类漫长的进化过程中,随着饮食结构日趋精细,颌骨发育空间逐渐缩小如今,许多人的颌骨已经无法为这四颗“姗姗来迟”的牙齿提供充足的生长空间,这也为智齿后续的“惹祸”埋下了伏笔。

不妨做个形象的比喻:健康的颌骨与牙列就像一座宽敞的房子,足以容纳所有牙齿安居乐业;但当颌骨空间缩小时,后萌出的智齿就成了挤不进房间的成员,只能在狭小的缝隙里勉强“安家”。

二、智齿为何频频惹祸?

并非所有智齿都需要拔除。如果颌骨空间充足,智齿能完全、笔直地萌出,与对颌牙齿建立正常的咬合关系,它们就能像其他牙齿一样,正常发挥咀嚼功能。然而,现实中更多的情况是阻生——即智齿在萌出过程中因空间不足而受阻。根据生长方向,惹祸的智齿有不同“姿态”:

近中阻生:牙冠向前倾斜,直接顶住前方的第二磨牙,这是最常见的阻生类型;

水平阻生:牙齿完全“躺倒”,横向生长,对邻牙的压迫性最强;

垂直阻生:牙齿虽直立生长,但无法完全突破牙龈,牙冠部分被牙龈覆盖;

远中阻生:牙冠向后倾斜,容易藏匿食物残渣且清洁难度大。

这些异常的萌出方式,是后续所有问题的根源。

三、智齿可能引发的健康隐患

一颗位置不当的智齿,就像口腔里的一个“死角”和“破坏分子”,容易引发多种问题:

1. 冠周炎:这是最常见的急性问题。部分萌出的智齿,其牙冠与覆盖的牙龈之间会形成一个难以清洁的“盲袋”,极易藏匿食物残渣和细菌,导致牙龈反复红肿、疼痛,甚至张口受限、面部肿胀。

2. 邻牙损害:尤其是前倾或水平阻生的智齿,其牙冠会持续顶撞、挤压前方的第二磨牙。这不仅可能导致第二磨牙牙根吸收、蛀牙,甚至造成邻牙松动。

3. 龋坏与牙周病:智齿本身位置靠后,清洁困难,容易自身蛀牙。同时,它堆积的菌斑也会严重影响邻近牙齿的牙周健康。

4. 导致牙列不齐:萌出的力量可能成为“压垮骆驼的最后一根稻草”,加重或导致前牙拥挤。

5. 其他问题:极少数情况下,可能形成囊肿或肿瘤,对颌骨造成更大破坏。

四、如何应对智齿?

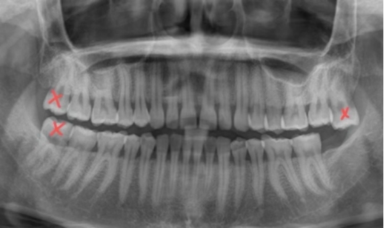
面对智齿,我们无需过度焦虑,但应保持科学警惕。关键在于定期口腔检查,尤其是拍摄口腔X光片(如全景片),让牙医能清晰评估所有智齿的位置、形态及其与邻牙、神经管的关系。

拔除智齿并非绝对的“仪式”,而是一项基于循证医学的医疗决策。一般来说,出现以下情况时,医生会建议拔除:

· 反复引发冠周炎或其他感染

· 已被蛀坏或导致邻牙龋坏

· 没有咬合功能,且清洁困难

· 成为牙齿矫正或其他治疗计划的阻碍

· X光片显示有囊肿或病变迹象。

拔牙过程在局部麻醉下进行,患者不会感到疼痛。对于复杂的阻生齿,可能需要微创手术拔除。术后遵循医嘱,做好护理,能有效减轻肿胀与不适,顺利康复。

总之,智齿是现代人进化留下的一个“小遗迹”。通过定期检查、科学评估,我们完全可以化被动为主动,妥善管理这份“成长的礼物”,维护口腔的长期健康与安宁。

 

口腔科   王恒


上一篇 下一篇

医院地址: 四川省广元市利州区苴国路中段   

急救电话: 0839-3333333  0839-3302410

咨询电话: 0839-3300000  0839-3303712(门诊时间:8:00-16:30) 13881210072(夜间及节假日)

投诉电话: 0839-3314229(8:00-17:30)  13881210072(夜间及节假日)

市卫健委纪检组举报电话:0839-3223557

版权©2026 广元市第一人民医院

蜀ICP备13011732号-4    川公网安备51080002000042号

网站访问量: 18631321 次


官方微信
#jews_hits("3","$!{id}")