“红区”脱垂
大GAP反流
……
广元市第一人民医院
心血管内科联合超声医学科
连续开展多例
经导管二尖瓣缘对缘修复术(TEER)
攻克高危复杂二尖瓣难题
微创治疗能力实现跨越式提升
近日,广元市第一人民医院心血管内科一病区联合超声医学科,连续成功开展多例高难度经导管二尖瓣缘对缘修复术(TEER),在结构性心脏病介入治疗领域实现持续突破。手术覆盖退行性二尖瓣脱垂(DMR)及复杂功能性二尖瓣反流(FMR)等瓣膜介入领域技术难度较高的病变。这一成果不仅体现了团队在影像评估、术中操作及围术期管理方面的专业水平和硬核实力,更标志着医院在复杂瓣膜病变微创治疗领域已逐步迈入规范化、常态化发展阶段。


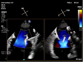
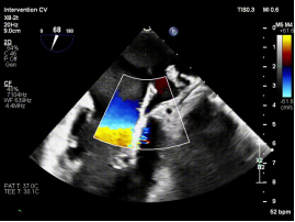
【图片1:术前超声图】
病例1为典型退行性二尖瓣脱垂(DMR),术前超声提示外交界瓣叶明显脱垂,反流程度达重度(4+),伴随活动后气促等心衰症状。由于病变位于“红区”,瓣叶结构复杂、对合不稳定,属于TEER治疗中的高难度类型。
术前,团队启动多学科讨论(MDT),围绕瓣叶解剖结构、反流机制及手术路径进行了系统评估,重点分析夹持点位、穿刺高度及器械角度等关键操作要点,为患者量身制定个体化手术方案。
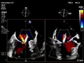
手术中,团队在经食管超声心动图(TEE)引导下精准完成房间隔穿刺,为器械操作提供良好空间;建立稳定输送路径,使导向系统与二尖瓣平面充分对齐;利用X-plane及三维超声反复定位脱垂区域,微调器械角度,实现对目标瓣叶的精准抓取;确认夹持质量后释放装置,最终完成修复。




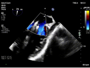
【图片2-5:术中TEE、夹持瞬间、术后效果图】
术后即刻评估显示,患者二尖瓣反流由重度(4+)降至轻度(1+),跨瓣压差维持在理想范围,肺静脉血流明显改善,手术取得良好效果。


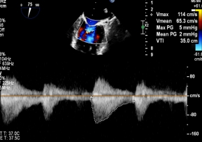
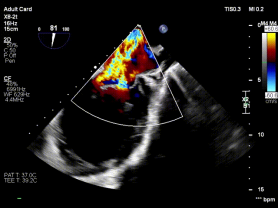
【图片6:术前超声图】
病例2为复杂功能性二尖瓣反流(FMR),术前影像提示前后瓣叶对合不良,存在明显间隙(GAP),反流程度达极重度。该类病例因瓣叶牵拉明显、张力大,是TEER技术中的典型难点。
针对该病例特点,团队制定个体化诊疗策略,在穿刺位置、器械路径及夹持方式上进行精细设计。术中,团队优化房间隔穿刺高度与位置,匹配GAP结构特点;反复调整导向系统,确保器械垂直对准反流中心;通过多平面及三维TEE确认最佳夹持窗口;采用分步夹持策略,提高瓣叶抓取成功率,确保手术过程平稳。



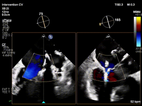
【图片7-9:术中定位、夹持过程及术后效果图】
术后评估显示,患者二尖瓣反流由极重度明显降低至中度以下,血流动力学改善,手术取得良好效果。
连续攻克复杂病例 TEER技术实现成熟应用
从红区脱垂到大GAP功能性反流,连续多例复杂TEER的成功实施,意味着心血管内科二病区团队在复杂瓣膜病变微创治疗领域已具备成熟、系统的诊疗体系。
心血管内科一病区主任陈玺全表示:“复杂二尖瓣反流的微创治疗,是对团队综合能力的全面考验,连续多例复杂病例的成功实施,体现了团队在系统化能力和精细化操作方面的全面提升。未来,科室将持续提高结构性心脏病诊疗能力,推动区域医疗水平高质量发展,让广大患者在‘家门口’享受精准、安全、高效的优质治疗。”
友情链接:
医院地址: 四川省广元市利州区苴国路中段
急救电话: 0839-3333333 0839-3302410
咨询电话: 0839-3300000 0839-3303712(门诊时间:8:00-16:30) 13881210072(夜间及节假日)
投诉电话: 0839-3314229(8:00-17:30) 13881210072(夜间及节假日)
市卫健委纪检组举报电话:0839-3223557
版权©2026 广元市第一人民医院
网站访问量: 18631321 次
![]() 官方微信 |