近日,广元市第一人民医院耳鼻咽喉科张继友副主任医师带领团队,成功为一位来自朝天区基层医院的转诊患者实施了一例高难度、高风险的经颈侧进路咽旁间隙肿瘤切除术。此例手术的成功,不仅标志着医院耳鼻咽喉科在头颈肿瘤复杂手术领域的技术实力迈上了新台阶,更是区域医疗协作、切实解决基层群众“看病难”问题的生动体现。
病情复杂:深部“定时炸弹”的挑战
患者因咽部异物感、视物模糊等症状,前往朝天区人民医院就诊,初步检查发现咽旁占位。鉴于肿瘤位置深在、解剖结构复杂,手术风险极高,当地医院通过转诊通道,迅速将患者转至广元市第一人民医院耳鼻咽喉科进一步诊治。
咽旁间隙是位于颅底、下颌骨深面的一个潜在腔隙,其内密布着颈内动脉、颈内静脉、多组颅神经及重要的交感神经链,被誉为头颈外科的“手术禁区”。此区域的肿瘤,如同埋在深处的“定时炸弹”,手术稍有不慎,就可能导致大出血、神经永久性损伤等严重并发症,对外科团队的技术、经验和协作能力提出了极致要求。

多学科攻坚:毫米级操作巧摘“炸弹”
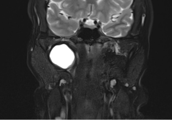
面对挑战,张继友副主任医师、魏巍主治医师、李鹏副主任医师、杨肖医师组成的手术团队迎难而上。术前,团队依托医院影像学平台完成了患者CT及MRI检查,对肿瘤的大小、性质、血供及其与周边重要血管神经的立体关系进行透彻评估,制定周详的手术方案和应急预案。
手术中,团队采用了经典的“经颈侧进路”。在有限的视野和操作空间内,手术团队凭借丰富的解剖知识和稳健的手术技巧,犹如一位技艺精湛的“拆弹专家”,在神经与血管交织的“密林”中小心翼翼地游离、显露,精准避开并保护颈内动脉、迷走神经、舌下神经等关键结构,最终将一枚直径约4cm的肿瘤完整、精准地剥离切除。整个手术过程出血量极少,所有重要神经功能均得到完美保留。术后患者恢复顺利,吞咽及发音功能良好,已康复出院。
技术与责任:双向赋能彰显区域医疗担当
本次手术的成功实施,是医院耳鼻咽喉科医疗技术进步的缩影,展现了科室在复杂头颈肿瘤诊疗方面,已具备从精准诊断、多学科讨论到高难度手术实施的完整能力,达到了区域领先水平。同时,此次朝天区基层医院转诊患者的成功救治,也凸显了“基层首诊、双向转诊、急慢分治、上下联动”的分级诊疗制度的优越性。
长期以来,广元市第一人民医院始终致力于搭建与基层医疗机构紧密联动的桥梁,通过技术下沉、远程会诊、绿色通道转诊等方式,将优质医疗资源有效辐射至基层,切实解决了边远地区群众就医难题,让百姓在家门口就能享受到高水平的医疗服务,真正体现了公立医院的社会责任与担当。
【健康科普】
认识咽旁间隙肿瘤:咽喉“金字塔”内的“炸弹”
您是否听说过咽旁间隙肿瘤?这个名字对大多数人来说可能很陌生。它虽是一种不常见的头颈部疾病,却因生长位置特殊、毗邻关键血管神经,堪称埋藏在咽喉深处的“隐匿炸弹”,需要高度警惕。今天,我们就来揭开它的神秘面纱。
一、 什么是咽旁间隙?
想象一下,在我们的喉咙两侧,深藏着一个由肌肉、筋膜围成的潜在三角形“小房间”,这就是咽旁间隙。它位置深在,上达颅底,下抵舌骨,内侧是咽部,外侧是下颌骨。这个被称为咽喉“金字塔”的狭小空间里,住着一群至关重要的“邻居”——为大脑供血的颈内动脉、负责血液回流的颈内静脉,以及控制咽喉感觉运动、声带活动、舌头运动的多组颅神经(如迷走神经、舌下神经等)。

图片源于网络
二、 什么是咽旁间隙肿瘤?
顾名思义,就是生长在这个“金字塔”里的肿瘤。它们大多数(约80%)是良性的,如多形性腺瘤、神经鞘瘤等;但也有部分为恶性肿瘤,具有侵犯周围重要血管、神经的风险。由于肿瘤靠近颅底和颈内动静脉,即使是良性,也可能造成严重症状或手术难度高。
三、 会有哪些症状?
早期肿瘤较小时,可能没有任何症状,常在体检时偶然发现。随着肿瘤增大,可能出现:
1. 咽喉部不适:最常见的症状,如异物感、吞咽不适、疼痛。
2. 颈部肿块:有时可在下颌角后方或上颈部摸到无痛性包块。
3. 压迫症状:压迫神经可引起声音嘶哑、饮水呛咳、伸舌偏斜、面部麻木或疼痛(Horner综合征)等。
4. 其他:张口困难、耳鸣、听力下降等。
四、 如何诊断与治疗?
1. 诊断:主要依靠影像学检查。增强CT或MRI(磁共振)是首选,能清晰显示肿瘤的位置、大小、边界及其与血管神经的关系,是制定手术方案的“导航图”,有时需要细针穿刺活检来明确肿瘤性质。
2. 治疗:手术完整切除是主要的治疗手段。由于解剖复杂,这是耳鼻喉头颈外科领域颇具挑战性的手术。手术路径(如经口、经颈侧等)需根据肿瘤具体情况个体化选择,核心目标是在彻底切除肿瘤的同时,最大限度地保护重要的血管和神经,保留患者的功能。
五、 健康提醒
如果您长期感到咽部异物感、吞咽不适,或发现颈部有无痛性肿块,特别是同时伴有声音嘶哑、面部麻木、饮水呛咳等症状时,切勿当作“咽炎”“上火”拖延,应及时前往正规医院的耳鼻喉头颈外科就诊检查。对于咽旁间隙肿瘤这类隐匿的头颈部疾病,早发现、早诊断、早治疗是降低风险、提升治愈率和生活质量的最佳策略。
友情链接:
医院地址: 四川省广元市利州区苴国路中段
急救电话: 0839-3333333 0839-3302410
咨询电话: 0839-3300000 0839-3303712(门诊时间:8:00-16:30) 13881210072(夜间及节假日)
投诉电话: 0839-3314229(8:00-17:30) 13881210072(夜间及节假日)
市卫健委纪检组举报电话:0839-3223557
版权©2026 广元市第一人民医院
网站访问量: 18631321 次
![]() 官方微信 |