89岁老人
尖锐枣核刺穿食管壁
纵隔、颈部脓肿
心肺功能差
合并多种基础疾病
……
情况危急!!!
Tubeless新技术+多学科专家协作
助其化险为夷
近日,在多学科协作下,广元市第一人民医院心胸血管外科陈均副主任团队采用Tubeless(无管)技术,成功为一名因误食枣核引发食管穿孔的89岁高龄患者完成异物取出及瘘口修补术,助其顺利度过危险期。目前,患者恢复状况良好。


惊险时刻 一枚枣核引发的危机
数日前,一位89岁老人在家进食时,不慎吞下一枚枣核,随即出现胸骨后剧烈疼痛、吞咽困难等症状。家属发现异常后,第一时间将老人送往当地医院就诊。因老人病程已达3天,错过最佳抢救时机,病情危重且处理难度极大,随时面临生命危险,当地医院建议转至上级医院进一步诊治。
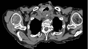
随即,老人转入广元市第一人民医院就诊。CT检查结果显示,一枚长约2厘米的尖锐枣核已刺穿食管壁,且局部已形成脓肿,情况万分危急。食管穿孔本身属于胸外科急症,对于高龄患者而言,穿孔后纵隔感染、脓胸等并发症发生率更高,死亡率可达20%—40%。加之该患者年事已高,还合并多种基础疾病,后续治疗与手术的风险大幅攀升。
多学科协作 争分夺秒与时间赛跑
面对这一复杂危重病例,医院立即启动多学科协作(MDT)机制。心胸血管外科、耳鼻喉科、消化内科专家迅速集结,共同研判病情、制定最优救治方案。
“对于食管异物穿孔,时间就是生命。”心胸外科陈均副主任表示,“枣核尖锐,已刺穿食管形成纵隔和颈部脓肿,必须立即手术取出异物并修补穿孔,否则感染扩散将危及生命,同时患者高龄,心肺功能差,手术难度极高。”
经过全面评估与反复研讨,专家团队决定采用Tubeless(无管)新技术,为患者实施“胃镜下食管异物取出+外科手术食管穿孔修补术”。手术中,消化内科蒋欢副主任医师凭借娴熟的内镜操作技术,顺利将尖锐枣核取出。随后,针对枣核造成的巨大食管破口,心胸外科陈均副主任、郑实谊副主任医师沉着应对、精准操作,采用Tubeless技术,为其成功实施食管穿孔修补术。术后,患者平安返回病房,接受精细化监护与管理。



精心护理 助力高龄患者快速康复
考虑到患者高龄、术后恢复速度较慢,且合并基础疾病,心胸血管外科团队为其量身制定了精细化术后康复计划,每日多次查房,密切监测患者生命体征与恢复情况,及时调整治疗与护理方案;临床营养科专家为其配置了适宜的营养支持方案,为患者快速康复筑牢基础。
此次高龄危重患者的成功救治,充分彰显了广元市第一人民医院多学科协作处理急危重症的综合实力,也体现了医院紧跟前沿技术、持续提升诊疗水平的责任担当。未来,医院将继续深耕技术创新与学科建设,为区域群众生命健康提供更坚实的保障。

专家提醒:老年人进食需特别注意
消化科专家提醒,老年人因咀嚼功能减退、感官反应迟钝,是食管异物嵌顿的高发人群,枣核、鱼刺、假牙等均为常见危险物品。为此,特向有老年人的家庭提出建议:
1. 将食物去核、去骨、切小块后再供老人食用;
2. 叮嘱老人进食时细嚼慢咽,切勿边谈笑边进食,佩戴假牙者需定期检查假牙稳固性;
3. 三是一旦发生误吞异物,务必立即就医,切勿强行吞咽饭团、馒头等试图将异物推下,以免加重损伤。
技术解读:Tubeless技术赋能精准诊疗
此次救治中采用的胸外科前沿微创技术——Tubeless技术,指在微创手术中减少或避免使用气管插管、导尿管、引流管等传统管道,保留自主呼吸,通过精准麻醉技术和微创操作降低创伤,减少围手术期并发症,加速术后康复,需麻醉科与胸外科紧密配合,核心优势在于能最大化保护患者肺功能与免疫功能,减少麻醉药物毒副作用,减轻患者围手术期疼痛,缩短住院时间。该技术对麻醉操作与手术技巧均提出极高要求。
为引入这项先进技术、造福区域患者,2024年9月,心胸外科陈均副主任、麻醉科任英杰医师专程前往广州医科大学附属第一医院进修学习,参与“沉浸式”Tubeless手术大师班,师从国家呼吸医学中心、广州医科大学附属第一医院钟南山院士,以及国家呼吸医学中心主任、广州呼吸健康研究院院长、广州医科大学附属第一医院胸外科、移植科、肿瘤科学术带头人何建行教授。在何建行教授的手把手指导下,二人历经系统沉浸式培训,圆满学成归来,将这项领先技术带回广元并成功应用于临床,获得患者及家属的高度认可。
作为广元地区率先开展该技术的科室,目前,陈均团队已成功将Tubeless技术应用于多个疑难危重病例,积极推动区域胸外科手术迈入“无管化”新时代。
友情链接:
医院地址: 四川省广元市利州区苴国路中段
急救电话: 0839-3333333 0839-3302410
咨询电话: 0839-3300000 0839-3303712(门诊时间:8:00-16:30) 13881210072(夜间及节假日)
投诉电话: 0839-3314229(8:00-17:30) 13881210072(夜间及节假日)
市卫健委纪检组举报电话:0839-3223557
版权©2026 广元市第一人民医院
网站访问量: 18631321 次
![]() 官方微信 |