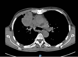
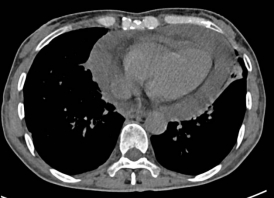
近日,一位肿瘤晚期的老年女性患者因并发急性心包填塞,被紧急送往广元市第一人民医院心胸血管外科就诊。入院时,患者已出现严重呼吸困难、心力衰竭等症状,剧烈的胸闷与濒死感让她痛苦不堪。检查显示,肿瘤转移引发的大量心包积液已对心脏形成致命压迫,若不及时解除压迫,患者随时可能因心跳骤停死亡,生命危在旦夕。

然而,患者处于肿瘤晚期,身体耐受度极差,还因年事已高合并多种基础疾病,给治疗带来了巨大挑战。传统治疗需采用全麻手术,需气管插管、机械通气辅助,不仅手术创伤大、术后并发症风险高,更可能因麻醉应激导致病情急剧恶化,甚至引发术中猝死。经综合评估,患者手术风险等级评估为极高危,传统治疗方案难以实施。
技术破局 Tubeless微创技术开辟生命通道


面对“治则风险极高、不治则即刻致命”的两难困境,市第一人民医院心胸血管外科副主任陈均带领团队迅速开展多学科会诊,结合患者病情特点与技术优势,果断决定采用Tubeless无管化胸腔镜心包开窗引流术。这一创新技术无需气管插管、无需留置导尿管,无需使用肌松剂,通过“三无”微创模式从根源上降低手术创伤与并发症风险,尤其适合老年体弱、危重疑难患者。
手术当天,陈均团队与麻醉科紧密协作。麻醉科张莉副主任、刘兴红医师在超声引导下精准区域神经阻滞,配合短效镇静镇痛药物,确保患者在自主呼吸状态下平稳接受手术。术中,陈均团队通过单孔胸腔镜精准定位心包积液区域,仅以微小切口完成开窗引流操作,快速排出压迫心脏的积液,成功解除了致命性心脏压迫。整个手术过程视野清晰、操作精准高效,在最大限度保障患者安全的同时,将手术创伤降至最低。
术后即刻清醒 重获呼吸自由
“手术太成功了!现在胸口不闷了,也能顺畅呼吸了!” 患者术后即刻清醒,在医护人员搀扶下安返病房,脸上终于露出了久违的轻松笑容。传统手术患者术后需长期卧床、忍受咽喉疼痛与胸管不适。得益于Tubeless技术的优势,该患者术后无气道损伤、无记忆损伤,意识迅速恢复,且疼痛反应轻微,当天即可自主进食、下床活动。
学科引领 以创新技术守护民生健康
据陈均副主任介绍,Tubeless技术通过“保留自主呼吸+精准区域阻滞”的创新模式,可减少50%麻醉药物用量,将呼吸机相关性肺炎、尿道感染等并发症风险降低50%以上,术后住院时间平均缩短2~3天,真正实现了“微创治疗+快速康复”的双重目标。作为广元地区率先开展该技术的科室,陈均团队已成功将Tubeless技术应用于多个疑难危重病例,推动区域胸外科手术迈入“无管化”新时代。
此次危重患者的成功救治,不仅彰显了广元市第一人民医院在心胸外科微创技术领域的过硬实力,更体现了医院“以患者为中心”的服务理念与多学科协作的诊疗优势。近年来,在医院心胸血管外科在陈均副主任带领下,积极对接国内前沿技术,先后引进单孔胸腔镜、裸眼3D胸腔镜、电磁导航肺结节定位等多项创新技术,构建了覆盖早期筛查、精准治疗、快速康复的全周期诊疗体系,并与国家呼吸医学中心等顶尖机构建立专科联盟,让广元及周边地区患者在家门口就能享受到高水平的微创医疗服务。
从疑难病例的攻坚克难到创新技术的临床转化,广元市第一人民医院始终以守护群众健康为己任,用精湛医术与人文关怀为无数患者点燃生命希望。未来,医院将持续深化技术创新与学科建设,让更多像Tubeless这样的先进技术惠及广大患者,为区域医疗健康事业发展注入更强动力。
友情链接:
医院地址: 四川省广元市利州区苴国路中段
急救电话: 0839-3333333 0839-3302410
咨询电话: 0839-3300000 0839-3303712(门诊时间:8:00-16:30) 13881210072(夜间及节假日)
投诉电话: 0839-3314229(8:00-17:30) 13881210072(夜间及节假日)
市卫健委纪检组举报电话:0839-3223557
版权©2026 广元市第一人民医院
网站访问量: 18631321 次
![]() 官方微信 |