在科技快速发展的今天,医疗领域也在不断探索与创新,以寻求更精准、高效的治疗方式。广元市第一人民医院紧跟医疗技术创新发展趋势,于2025年6月成立川北地区首家医学3D打印创新研究中心,积极推动3D打印技术在骨科、神经外科等临床科室的应用。
该技术通过医院伦理委员会的严格审批,获得影像科、手术麻醉科、医务科、信息科及消毒供应室等多科室、多部门的联合协作与大力支持,形成了从数据采集、建模处理到工业级SLA/DLP打印机精准打印的全流程服务体系,为患者带来了更优质的医疗服务。这一突破不仅标志着广元市第一人民医院在医疗技术上的创新突破,也为骨科患者带来了新的希望。
3D打印技术究竟是什么?
其核心就是借助计算机辅助设计(CAD)数据,通过高精度打印机等设备,将医用高分子材料、金属粉末等逐层打印,制造出医疗专用模型或器械的辅助技术。在骨科领域,它可依据患者影像学数据(如CT、MRI)精准复制骨骼结构,形成1:1实体模型,让原本只能在影像中看到的骨骼以直观、立体的形式呈现。医生能借助模型可提前规划脊柱外科、创伤外科等手术路径,模拟复位或设计个性化植入物,为解决传统骨折手术的难点提供有效方案,推动医疗从“经验型”向“精准型”转变;同时,该技术还可用于教学培训、科学研究等方面,应用前景广泛。
如今,3D打印技术正从一种“辅助工具”转变为提升手术个性化、精准化和微创化的核心技术,能够显著缩短手术时间、减少术中出血量、提升手术效果,代表了骨科智能化的未来方向。
3D打印技术在骨科领域的实践运用
针对不同病症类型与年龄阶段的患者,科室运用3D打印技术精准制定个性化诊疗方案,将其应用于多种场景下的不同患者,且均取得了良好的诊疗效果。
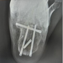
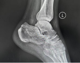
案例1:患者42岁,因高坠伤致左跟骨骨折、伴活动受限9小时入院。入院诊断:左跟骨骨折。入院后,科室采用3D打印导板辅助下行经皮跟骨骨折闭合复位内固定术,通过导入患者跟骨CT数据完成三维重建,在计算机上进行虚拟复位并精准规划出用于固定骨折块的最佳“虚拟螺钉”路径的进针点、角度及深度,以安全地穿过骨折块并达到最大把持力;再将计算机中的“虚拟路径”转移到患者体表,依据规划好的钉道,生成一个能与患者足跟外侧皮肤及骨骼解剖标志(如跟骨结节、腓骨远端等)完美贴合的个性化手术导板。术中只需将灭菌后的个性化导板准确贴合在患者足跟外侧预定的皮肤位置,借助导板导向孔直接钻入导针,实现了置钉精准化、手术微创化与效率提升的多重目标,最大程度保护了局部软组织血运,降低了伤口并发症风险。

(术前)



(术中)


(术后)
案例2:患者,88岁高龄,因摔伤致右髋关节疼痛伴活动受限3小时入院。入院诊断:右股骨粗隆间粉碎性骨折、重度骨质疏松。鉴于高龄骨质疏松粉碎性骨折对髓内钉力线与螺旋刀片锚定的严苛要求,科室以3D打印1:1骨折模型提供“实体沙盘”,助力医生反复进行骨折复位演练,精确测量进针点、主钉长度、前倾角及螺旋刀片深度精,评估复位稳定性,最后成功完成3D打印模型辅助下行粗隆间骨折PFNA闭合复位内固定术,保障了手术安全与效果。


(术前) (术后)



(术中)
案例3:患者,13岁,青少年特发性脊柱侧弯。考虑其尚处发育期,需兼顾矫正与生活质量的需求,我科室应用3D打印个性化矫形器进行治疗,通过三维扫描获取患者躯干精准数据,经生物力学模拟设计后,3D打印出轻量化、透气且完全贴合的个性化矫形器,不仅实现了显著的即时矫正效果、有效控制了侧弯进展,更凭良好的佩戴舒适度提升了患者依从性。该技术以最小的负担,护航青少年患者的脊柱健康与正常成长,意味着医院逐步形成了脊柱侧弯手术与非手术的完整治疗体系。



3D打印技术在临床诊疗中的成功应用,是广元市第一人民医院践行精准医疗理念、推动医疗技术创新的生动实践。从青壮年创伤骨折到高龄复杂骨折,再到青少年发育性脊柱疾病,该技术针对不同患者的个体需求提供了定制化解决方案,不仅显著提升了诊疗质量与安全性,更减轻了患者痛苦、保障了生活质量。
友情链接:
医院地址: 四川省广元市利州区苴国路中段
急救电话: 0839-3333333 0839-3302410
咨询电话: 0839-3300000 0839-3303712(门诊时间:8:00-16:30) 13881210072(夜间及节假日)
投诉电话: 0839-3314229(8:00-17:30) 13881210072(夜间及节假日)
市卫健委纪检组举报电话:0839-3223557
版权©2026 广元市第一人民医院
网站访问量: 18631321 次
![]() 官方微信 |