近日,广元市第一人民医院胃肠外科·小儿外科联合多学科团队为一名3岁的患儿成功实施腹腔巨大肿瘤切除术,从“生命禁区”中帮助孩子夺回生机。目前,患儿恢复良好,已顺利出院。
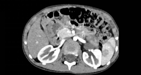
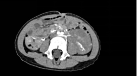
该患儿反复腹痛难忍,家属遂携其前往广元市第一人民医院就医。经检查发现腹腔内长有一直径约10厘米的巨大肿瘤,肿瘤上极达左侧肾门、下极达左侧髂总动脉分叉平面,可见腹主动脉下端一分支动脉供血,肿瘤已严重挤压肾脏、输尿管、肠道等重要脏器,若不及时手术,将危及生命。但患儿年龄仅3岁,器官娇嫩、耐受度低,且肿瘤与腹腔大血管紧密粘连,手术分离难度极高,稍有不慎便可能引发大出血等致命风险,治疗挑战重重。


面对这个棘手问题,医院立即启动儿童重症病例多学科协作机制。由分管副院长何东权主持,胃肠外科·小儿外科牵头,联合影像科、麻醉手术中心、心胸血管外科、儿科、肿瘤科、泌尿外科、重症医学科开展多轮会诊。影像科通过高清三维成像,精准标注肿瘤边界、血管分布及与周围脏器的关系,为手术规划“导航图”;麻醉手术中心针对患儿生理特点,定制“精准麻醉”方案,全程守护心肺功能稳定;重症医学科提前备好术后监护设备,做好应急保障预案。


手术当日,胃肠外科·小儿外科张达副主任、心胸血管外科向家勇主任医师带领团队“披甲上阵”。术中,医生在狭小的腹腔空间内,以毫米级精度,小心分离肿瘤与血管、脏器的粘连,确保完整切除肿瘤,最大限度保护患儿的正常组织。历经2小时的奋战,患儿腹腔内的巨大肿瘤被成功完整摘除,术中出血量远低于预期。
术后,患儿被转入病房进行监护。在医护团队的精心照料下,患儿很快脱离生命危险,恢复自主进食、活动等。
此次高难度手术的成功,不仅检验了胃肠外科·小儿外科在复杂儿童肿瘤诊疗领域的硬实力,更展现了多学科协作“1+1>2”的救治效能。未来,科室将持续聚焦儿童健康需求,以更精的技术、更优的服务,为每一位患病儿童筑牢生命健康屏障。
友情链接:
医院地址: 四川省广元市利州区苴国路中段
急救电话: 0839-3333333 0839-3302410
咨询电话: 0839-3300000 0839-3303712(门诊时间:8:00-16:30) 13881210072(夜间及节假日)
投诉电话: 0839-3314229(8:00-17:30) 13881210072(夜间及节假日)
市卫健委纪检组举报电话:0839-3223557
版权©2026 广元市第一人民医院
网站访问量: 18631321 次
![]() 官方微信 |