近日
广元市第一人民医院多学科协作
成功抢救一例
颈动脉爆裂综合征大出血患者
患者,57岁男性,因鼻咽癌放化疗术后10月,在家咳嗽后鼻腔出血1天,后自行停止出血,于4月27日前往广元市第一人民医院就诊,入住耳鼻喉科。
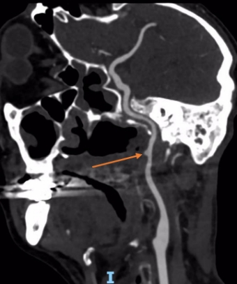
入院后,治疗团队为其完善血管头颈部CTA检查,发现肿瘤包绕颈内动脉,左侧颈内动脉肿瘤包绕处可见假性动脉瘤,基底动脉环显示左侧后交通动脉粗大。
当天夜间,患者突然出现大出血,血压下降,随时可发生窒息及失血性休克,危及生命。
“通知相关科室,立即准备手术……”根据平时关于这类病例的多学科讨论学习,治疗团队立即启动多学科抢救机制,将患者急诊送入手术室。短短几分钟,耳鼻喉科、神经外科、麻醉手术中心、输血科、重症医学科等科室人员各就各位,严阵以待,为患者开辟了一条抢救生命的绿色通道。
面对大出血咽喉部显示困难的情况下,麻醉手术中心仇丽雅主治医师凭借丰富的经验及娴熟的技术迅速开放气道,成功插管,避免了因大出血导致窒息死亡的发生。耳鼻喉科许超主任,张继友、姚勇两位诊疗组长在手术台上予以内镜下止血。但出血像是开闸水阀一样向外喷射而出,止血困难,整个手术室进入极度紧张的状态。输血科在市内血站调配大量红细胞及血浆,确保用血需求。护理总值班像是踩上风火轮一样穿梭于输血科与手术室之间,不取血的时候便守候在手术室门口时刻准备着。

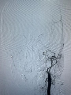
箭头所指为假性动脉瘤
箭头所指为出血点
由于内镜下止血困难,考虑鼻咽癌治疗后并发颈内动脉爆裂综合征大出血,治疗团队立即将患者转入复合手术室。此时,神经外科脑血管病团队早已枕戈待旦,无缝衔接开始手术。面对患者大出血的危急情况,神经外科昝春树主治医师来不及穿戴铅衣,一头扎进抢救工作。股动脉穿刺,微导管、超滑导丝导引导管迅速超选至左侧颈内动脉等系列操作一气呵成。术中造影证实了左侧颈内动脉假性动脉瘤破裂出血,像一股洪流一样持续向外喷出。
快速闭塞血管后无出血
后交通动脉开放 代偿左侧大脑中动脉供血
“患者左侧颈内动脉后交通动脉粗大,假性动脉近远端已经发生夹层改变。”手术团队凭借丰富的经验,果断决策闭塞左侧颈内动脉,选择大而长的弹簧圈在假性动脉瘤近远端闭塞颈内动脉,成功止住出血。取出咽喉部压迫棉片及棉条均无活动性出血,继续输血、输血浆,予以抗休克治疗。全脑血管造影显示,后交通动脉代偿良好,左侧大脑中动脉血流速度正常,眼动脉显影良好,患者的生命体征逐步恢复正常。见患者情况逐渐平稳,所有人都松了一口气。
术后,患者转入重症监护病房继续抗休克治疗,次日早上停用镇静药物后,恢复清醒,言语清晰,双眼视力正常,四肢活动自如,咽喉部无出血,转入普通病房。在医护人员的精心治疗和护理下,患者于5月3日康复出院。
“多亏了你们,这才捡回来一条命!谢谢……”回忆起当时的情景,患者家属仍惊魂未定、记忆犹新,对医护人员连连道谢。
该患者的成功救治,再次展示了广元市第一人民医院应对突发事件的快速反应能力和急危重症患者就诊的硬核实力,同时也彰显了多学科协作的强大合力和优势。多学科密切配合、高效联动,于千钧一发之际力挽狂澜,为患者筑起了坚固的生命防线。
鼻咽癌治疗后并发颈动脉爆裂综合征
鼻咽癌为鼻咽部黏膜上皮源性的恶性肿瘤,在耳鼻咽喉恶性肿瘤类别中占比较大,病死率占比高。放疗是鼻咽癌的首选治疗方法,但放射治疗在杀死肿瘤细胞的同时,其周边正常组织和器官也不可避免地受到放射性损伤,从而引发组织坏死和溃疡,而肿瘤复发亦会侵犯头颈部大血管,以上两种情况都可导致血管破裂引起鼻咽部出血,甚至发生颈动脉爆裂综合征(carotid blowout syndrome, CBS)。
CBS是由颈动脉及其分支的破裂而造成的呼吸、循环和神经系统急性功能障碍的一系列病理生理表现,为头颈部肿瘤患者放射治疗后,死亡率极高的一种并发症,文献报道显示颈内动脉/颈总动脉爆裂出血的患者,中位生存期为4—12个月。
颈动脉爆裂综合征临床上分三种类型或三个阶段:先兆型(Threaten)、即将爆裂型(Impending)、急性爆裂型(Acute)。
先兆型颈动脉爆裂定义为内镜或影像学结果显示颈动脉暴露,但无活动性出血的证据。尽管没有出血,除非采取措施保护血管,否则即将发生的出血是不可避免的。
即将爆裂型定义为一过性出血(前哨出血),可自发或通过简单的填塞或加压解决,可仅仅表现为点状出血,但颈动脉完整性已经破坏,存在短时间内爆裂的风险,为最容易忽视的情况。
急性爆裂型表现为大量出血,不能单纯通过填塞鼻腔的方式或后鼻孔填塞来控制,往往为颈内动脉的破裂出血导致,如果不立即治疗,会迅速致命。由于颈内动脉CBS的高死亡率和高致残率,当颈内动脉(internal carotid artery, ICA)暴露于坏死性病变时,其破裂死亡率可达72.7%,这对临床医生来说是一个巨大的挑战。
一旦出现CBS口鼻大出血时,患者应向健侧卧位,并且头低位,防止大出血引起的误咽误吸,导致窒息,同时亦可按压患侧颈内动脉来止血,于就近医院实施前、后鼻孔填塞,及时建立人工气道、静脉通道,加强补液输血,转入能进行介入治疗的医疗单位进行多学科抢救。
友情链接:
医院地址: 四川省广元市利州区苴国路中段
急救电话: 0839-3333333 0839-3302410
咨询电话: 0839-3300000 0839-3303712(门诊时间:8:00-16:30) 13881210072(夜间及节假日)
投诉电话: 0839-3314229(8:00-17:30) 13881210072(夜间及节假日)
市卫健委纪检组举报电话:0839-3223557
版权©2026 广元市第一人民医院
网站访问量: 18631321 次
![]() 官方微信 |