
在医学攻坚的征程中,广元市第一人民医院近日缔造了一场生命的奇迹。心血管内科一病区副主任陈玺全团队领衔出击,联合超声诊断科、麻醉手术中心、重症医学科等多科室精锐力量,在四川大学华西医院陈茂教授团队的有力协助下,成功应用国产创新经股静脉入路二尖瓣夹系统,完成川陕甘毗邻地区首例经导管二尖瓣修复术,让耄耋老人重燃生命希望。
二尖瓣反流作为我国极为常见的心脏瓣膜病,犹如一颗隐匿的“健康炸弹”,尤其是重度反流患者,常常饱受呼吸困难、氧气匮乏的折磨,严重时,房颤、心衰等致命风险接踵而至。传统外科开胸手术,对于高龄患者而言,犹如一道难以跨越的天堑,而经导管二尖瓣修复术这一微创疗法,无疑是黑暗中的曙光,作为当下国际治疗二尖瓣反流最为成熟的介入手段之一,为众多不耐受开胸手术的患者开辟出一条安全有效的求生之路。
患者,男,81岁高龄。反复双下肢水肿8年有余,头晕、心慌3年多,还有慢阻肺、缺铁性贫血等病史。心脏彩超显示:前叶长度2.3cm,后叶长度0.9cm,瓣口面积5.5cm²,无有效对合高度,病变宽度达18mm,手术难度呈指数级攀升,情况不容乐观。
手术难点
前后瓣叶毫无有效对合高度,捕获瓣叶好似大海捞针,加上左房显著扩张,瓣环跟着“膨胀”,瓣叶张力极大,随时面临撕裂风险,再者,病变范围较为广泛,无疑是雪上加霜。
面对如此棘手的情况,陈玺全副主任团队沉着冷静,迅速协同超声诊断科展开多轮会诊与深度研讨,同时与陈茂教授团队反复沟通、细致分析,讨论治疗方案。在大家的思维碰撞下,治疗团队最终决定为其行经导管二尖瓣修复术,以“小”手术解决心脏“大”问题,拟定先于反流区域2区植入一枚二尖瓣长宽夹,后续再依据反流情况判定是否植入第二枚。
术前评估
多学科协作克难关
一切准备就绪后,麻醉手术中心专家凭借精湛技艺,让患者全程处于平稳麻醉状态,为手术筑牢安全根基。超声诊断科医生犹如“透视眼”,实时提供精准影像指引,让手术操作有的放矢。术中,陈玺全副主任团队在2区植入一枚长宽夹后,棘手状况再现。由于瓣叶张力过大,团队果断调整策略,以特定角度释放二尖瓣夹。当夹子关闭至-30°时,奇迹发生,反流降至1+,术后跨瓣压差仅为1mmHg,手术效果惊艳众人。
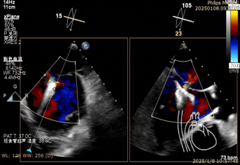
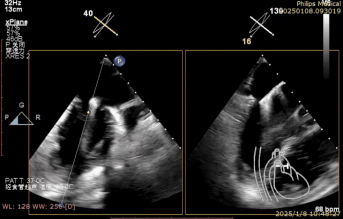
术中房间隔穿刺
术中二尖瓣夹系统瓣上调整


术中二尖瓣夹系统进入瓣下并捕获瓣叶

术中二尖瓣夹系统释放完毕
该手术的胜利收官标志着该技术在川北地区的临床研究顺利启动,是医院二尖瓣介入技术的一次重大跨越,彰显了广元市第一人民医院心血管内科在高风险二尖瓣反流治疗领域的超群技艺,宛如一盏明灯,将为川北地区众多二尖瓣反流患者点亮了精准、微创治疗的崭新希望。
友情链接:
医院地址: 四川省广元市利州区苴国路中段
急救电话: 0839-3333333 0839-3302410
咨询电话: 0839-3300000 0839-3303712(门诊时间:8:00-16:30) 13881210072(夜间及节假日)
投诉电话: 0839-3314229(8:00-17:30) 13881210072(夜间及节假日)
市卫健委纪检组举报电话:0839-3223557
版权©2026 广元市第一人民医院
网站访问量: 18631321 次
![]() 官方微信 |