国家三级甲等综合医院

国家住院医师规范化培训基地

中国科学院赵继宗院士工作站

四川省院士工作站

急救电话:0839-3333333

患者版
您现在的位置:首页 - 新闻中心 - 医院动态

跨区域帮扶 为患者构筑“心”健康

发布时间:2024-06-21  来源:医联体办公室  点击量:160

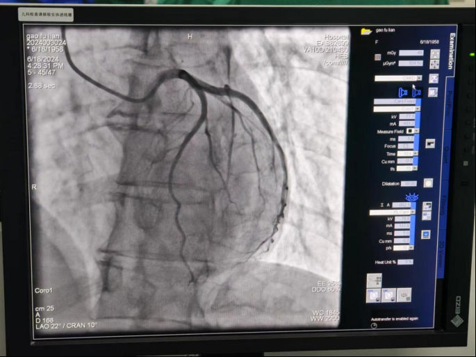
2024618日,甘肃省陇南市文县第二人民医院介入导管室正式启动。当天,在广元市第一人民医院心血管内科专家团队的帮扶指导下,文县二院成功开展2DSA经皮冠状动脉造影术),填补了该县在心血管介入领域的空白,标志着该县冠心病诊疗水平迈上了新的台阶,为当地广大冠心病患者带来了福音。

 

为满足广大群众日益增长的诊疗需求,提升基层医疗机构的冠心病诊疗水平,文县第二人民医院启动介入导管室建设项目。项目启动以来,广元市第一人民医院多次派遣专家团队就前期的建设规划、设备设施设置、人才培养等多方面进行了深入的交流和指导,确保介入室高标准落地,顺利投入使用。

2024062109352706.png 

 

术前,广元市第一人民医院心胸血管内科三病区胡永奎副主任对两名疑似冠心病的患者进行了全面的评估和讨论,制定详细的手术方案手术过程中,胡永奎手把手指导基层医疗机构医护人员操作DSA设备,顺利开展两例DSA经皮冠状动脉造影术。

DSA经皮冠状动脉造影术是一种先进的诊断技术,通过向冠状动脉内注入造影剂,利用DSA设备捕捉血管影像,以明确冠状动脉是否存在狭窄或闭塞。此项技术的成功开展,基层医疗机构能够更加准确地诊断冠心病,为患者提供更为精准的治疗方案。

近年来,广元市第一人民医院积极响应国家关于提升基层医疗服务能力的号召,与文县第二人民医院签订医联体合作协议,通过学科建设、人才培养、技术支持等多种形式的帮扶着力提升该院的医疗诊疗水平很大程度上解决了文县群众的看病就医问题

未来,医院将积极履行三甲公立医院的社会责任担当,深化文县第二人民医院的合作交流,充分发挥心血管介入领域的专业实力和技术水平,为该院提供多方面的支持和帮助,打造一支带不走的本土医疗技术队伍,共同推动基层医疗服务的提升和发展当地广大患者提供更加优质、便捷的医疗服务。


上一篇 下一篇

医院地址: 四川省广元市利州区苴国路中段   

急救电话: 0839-3333333  0839-3302410

咨询电话: 0839-3300000  0839-3303712(门诊时间:8:00-16:30) 13881210072(夜间及节假日)

投诉电话: 0839-3314229(8:00-17:30)  13881210072(夜间及节假日)

市卫健委纪检组举报电话:0839-3223557

版权©2026 广元市第一人民医院

蜀ICP备13011732号-4    川公网安备51080002000042号

网站访问量: 18631321 次


官方微信
#jews_hits("3","$!{id}")