国家三级甲等综合医院

国家住院医师规范化培训基地

中国科学院赵继宗院士工作站

四川省院士工作站

急救电话:0839-3333333

患者版
您现在的位置:首页 - 新闻中心 - 医院动态

我市首例!“神外天团”攻克罕见脊髓血管病

发布时间:2023-04-19  来源:神经外科  点击量:475

双下肢乏力麻木

腰部疼痛

你以为是腰间椎盘突出?

千万警惕

这一“常见症状”隐藏下的“真凶”

罕见的脊髓血管病变——硬脊膜动静脉瘘

近日,广元市第一人民医院神经外科天团成功开展我市首例硬脊膜动静脉瘘介入栓塞术,标志着医院在脑、脊髓血管疾病诊治方面取得了新突破。

患者任某某48岁,中年男性,因双下肢无力2年,反复加重伴腰部疼痛1月,于2023年3月29日入住市第一人民医院神经外科。

入院前2年,患者无缘无故出现双下肢无力,不能行走,腰部及左下肢疼痛,于当地医院诊断为椎间盘突出。上述症状反复发作,大约1月左右1次。

1个月前,患者再次出现上述症状,症状进行性加重,完全不能行走,伴双下肢麻木,排大小便困难,腰部及左下肢剧烈疼痛,遂前往广元市第一人民医院就诊。神经外科专家详细问诊,结合脊髓核磁共振等检查结果,初步考虑脊髓血管畸形,建议行脊髓血管造影以明确诊断。

患者及家属再三考虑,决定转入四川大学华西天府医院进一步治疗,行脊髓血管造影显示:T12椎体可见动静脉瘘,主要由右侧L1肋间动脉分支供血,确诊为硬脊膜动静脉瘘。

硬脊膜动静脉瘘是发育异常的动脉和静脉之间的直接交通,是一种椎管内罕见的血管畸形。通俗来说,就是动脉没有走自己该走的路,而直接与回流的静脉相沟通,中间的桥梁就是所谓的“瘘口”。如果不及时手术,将至截瘫。

此类手术风险和难度极大,患者家属一时之间拿不定主意,焦灼万分。就在此时,患者家属从广元市第一人民医院微信视频号了解到北京天坛医院(世界三大神经外科研究中心之一)神经外科脑血管病专家仇汉诚教授将来广手术坐诊的信息,遂立即带着检查资料前往市第一人民医院办理住院手续,准备手术治疗。

“该病发病率低,误诊率高,治疗难度大,目前手术方案有两种,一是介入手术治疗,二是开刀切除畸形血管团。”仇汉诚教授通过电话,与患者家属详细沟通病情以及手术方案。

患者家属再三考量后,最终选择介入手术治疗。确定手术方式后,神经外科团队即刻着手制定严密的手术方案,完善术前准备。

 

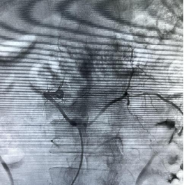
术前可见粗大的引流静脉

2023050610134609.png 

2023年4月2日,仇汉诚教授抵达广元后立即赶往市第一人民医院准备手术。当天下午,仇汉诚教授带领神经外科团队在复合手术室内,于全麻下为患者行脊髓血管造影+硬脊膜动静脉瘘介入栓塞术,术中可见L1肋间动脉分支供血,供血动脉迂曲纤细,引流静脉粗大。到达瘘口的“路径”建立困难,经历2小时的苦战,“神外天团”终于成功栓塞瘘口。

 

术后瘘口及引流静脉消失

术后,患者腰部及左下肢疼痛立即消失,臀部麻木感消失,下肢感觉麻木明显好转,右下肢肌力好转,达到II级。1周后,患者转回当地医院继续康复治疗。

科普时间

脊髓硬脊膜动静脉瘘(Spinal Dural Arteriovenous Fistula,SDAVF)是一种脊髓血管畸形,发病率低,在百万分之5到10,指供应硬脊膜或神经根的动脉在穿过椎间孔的硬脊膜时,与脊髓引流静脉在硬脊膜上沟通形成瘘口,导致相应动脉血流直接汇入静脉。由于硬膜内静脉没有瓣膜,冠状静脉内压力增高,传到至脊髓引起脊髓淤血、水肿、缺血和坏死。

症状:

要表现为感觉和运动功能障碍,可有大小便及性功能障碍,之后上行性发展,一旦患病,症状将进行性加重,主该病缺乏特征性的临床表现,早期诊断困难,误诊率高达60%。

诊断:

脊髓MRI为SDAVF筛选的手段,主要为脊髓水肿和髓周血管扭曲相关的影像学表现。伴随病程进展,有的会出现脊髓萎缩。部分患者早期MRI检查无明显异常。脊髓血管造影是诊断的金标准,可发现供血动脉、瘘口、引流静脉。

治疗:

手术治疗、介入栓塞治疗,均为处理瘘口,保留正常供血及引流静脉。

SDAVF起病隐匿,临床表现不具有特异性,很容易误诊,其早期诊断和治疗是改善预后的关键。


上一篇 下一篇

医院地址: 四川省广元市利州区苴国路中段   

急救电话: 0839-3333333  0839-3302410

咨询电话: 0839-3300000  0839-3303712(门诊时间:8:00-16:30) 13881210072(夜间及节假日)

投诉电话: 0839-3314229(8:00-17:30)  13881210072(夜间及节假日)

市卫健委纪检组举报电话:0839-3223557

版权©2026 广元市第一人民医院

蜀ICP备13011732号-4    川公网安备51080002000042号

网站访问量: 18631321 次


官方微信
#jews_hits("3","$!{id}")