30分钟,完成了平时3个多小时才能完成的手术,成功挽救患者生命。
近日,广元市第一人民医院心胸血管外科团队在麻醉后仅仅用时30分钟,通过无创介入技术成功实施了一台主动脉夹层腔内修复手术,快速完成血管修复,全过程加上麻醉环节,也仅耗时50分钟左右。
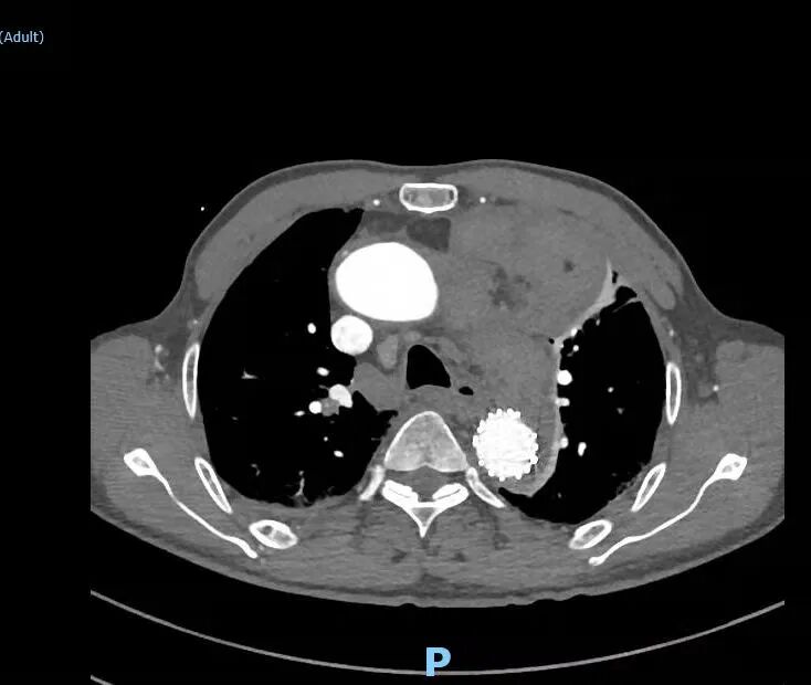
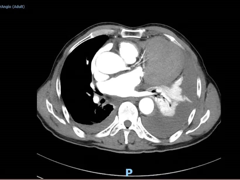
不慎扭腰 疼痛威胁老人生命 据患者的大儿子曹先生介绍,老人今年75岁,家住旺苍县盐河镇,病前一直在家务农。 5月22日晚上20时许,老人洗漱结束后,在院坝里向外泼脏水时,感觉“闪”了一下腰,腰间传来阵阵刺痛。 不一会儿,疼痛加剧,老人有点受不住了。 居家的大媳妇通过电话把情况告诉了在外务工的丈夫曹先生。曹先生认为老人是扭伤了腰,到村卫生室处理一下,拿点止痛药吃就可以了。 大约当天晚上21点多,老人到村卫生室输上了液,结果症状未缓解,痛得汗珠如豆而下。 什么原因导致仅仅是闪了一下腰的老人,突然胸背部产生如此剧烈的疼痛呢? 在没有任何检测硬件条件支撑的村卫生室,病因难以诊断。 在剧烈疼痛持续到第二天早上时,大家提议将其送往县城医院检查。 5月23日上午9时,家人协调到一个亲戚的轿车,将老人送往县城医院。同时,老人在外务工的2个儿子也启程往家乡奔赶。 检查结果显示。主动脉夹层壁间发现血肿,初步诊断为主动脉夹层动脉瘤,考虑患者病情复杂、危重,随时有生命危险,该院医生建议将老人转至广元市第一人民医院就诊治疗。 联合会诊 精准把脉制定大胆“计划” 经过30个小时的辗转,5月24日凌晨2点12分,老人入住广元市第一人民医院,结束了颠簸煎熬。 医院连夜安排了一系列的复查复诊。 然而结果扑朔迷离…… 老人除了疼痛一直没有缓减外,还伴有胸闷、气紧、体表汗流不止等情况,体力受限、但没有明显的活动障碍,没有意识丧失、呕血、黑便、大小便失禁等现象。加上CTA检查主动脉夹层壁间血肿现象明显,综合结果显示,基本和旺苍县县城某医院初诊特征一致。 术前,CTA影像显示,患者左前纵隔巨大占位和左胸腔大面积积液。 但是,问题来了。 老人前纵隔显现大面积阴影,可以确诊为合并前纵隔占位,这一占位是恶性肿瘤还是良性肿瘤,还是其它原因? 前纵隔占位的性质,直接威胁到老人的生命安全,也是治疗方案的关键点。 同时,老人左胸腔伴随着大量积液,积液之多已经把左肺压迫得只有一个成人手拳头大小,这一特征又有点像血管破裂导致。 如果是血管破裂导致,老人因失血过多而发生猝死的风险几率非常高! 那么,胸腔积液到底是什么?它是前纵隔占位诱因还是因血管破裂引起的呢? 5月24日早上,广元市第一人民医院副院长、心胸外科专家何东权在例行巡房时,了解到老人病情的特殊性和复杂性,当即表示:首先确定胸腔积液的成分,来推断老人的病情症结所在。 “看到一针管鲜红的液体,我紧绷的心弦稍稍松了点。”心胸血管外科医师王贤芝通过穿刺取样看到积液颜色,基本断定为血液,而且是鲜血。随后,分析数据也显示积液以血液成分为主体。 即使胸腔积液是血液,也不排除是前纵隔占位引起的出血。 医院又对老人进行主动脉三维重建,显示主动脉弓大弯侧外壁有明显的凸起点,疑似破裂出血灶。 这一结论让老人的主管医生薛春竹忧喜参半:“主动脉夹层破裂导致大量血液漏浸形成胸腔积液的可能性相对较大,反之前纵隔占位引起积液的可能性减少,虽然它对老人的生命依然存在不容忽视的威胁,但相对乐观了不少”。 各类检查结果汇总后,何东权副院长召集心胸血管外科和影像科等相关科室专家进行了联合会诊,大家纷纷发表意见,就疑点进行多角度分析。 讨论的焦点还是集中在前纵隔占位的形成因素以及与胸腔积液的关系。 “前纵隔占位若是恶性肿瘤,那么手术治疗毫无意义。” 老人的病理特征有诸多不合常理的地方,“如果左胸腔内全是血液,为什么患者在大失血前提下,还没有休克?” CT室专家认为,从影像看,前纵隔占位虽然有肿瘤特征,但阴影部分密度分散,而且前纵隔和胸腔之间有清晰的隔离带,不排除因胸腔积血通过膜壁薄弱处渗透到前纵隔而形成占位阴影的可能。 “患者病情恰恰特殊在于,左胸腔积液把左肺压迫收缩到只有拳头大小,也就把左肺中的肺循环体系内约500ml血液挤压进入人体血液大循环中,补充了体供血液量,这或许是目前患者没有休克的主要因素。”心胸血管外科主任医师张文林分析。 “如果前纵隔占位是肿瘤,唯一的办法是开胸手术。高龄、大失血,加上伴有肾功能、前列腺增生等其它病情,老人基本上坚持不到开胸手术结束。”心胸血管外科医师何杨提出自己的担忧。 “老人家的血还在漏失,随时可能发生猝死,十分危急。”何东权副院长提议,根据老人的“突然疼痛、胸腔积血”等病理特点,利用微创技术,只针对出血点进行修复性抢救治疗,目前,保生命是最大的前提。 这一提议得到大家一致认可。 30分钟 上演生命抢夺战 5月26日早上8点,手术开始。 手术施展开来就是和时间赛跑,和死神赛跑。 麻醉之后,从足背动脉穿刺右侧股动脉一路上行,边走边造影,行至升主动脉后,造影显示,主动脉弓大弯侧外壁破口明确,和术前主动脉三维重建显影吻合。 医生沿左锁骨下动脉后缘远端释放支架覆盖主动脉弓大弯侧外壁,覆盖后,造影显示,血管显影良好,未见明显内漏。 短短30分钟,在先进硬件设施设备的帮助下,广元市第一人民医院心胸外科的专家们,凭借精诚团结的团队精神、默契配合和高超技艺,成功堵住了老人体内血液循环体系的“决堤口”,将老人的生命从死亡的边缘上“拉”了回来。 术后,一边输血,一边从老人左胸腔抽出1000ml多的积血。 目前,老人左肺恢复正常,精神面貌、饮食状况得到有效改善,胸背部疼痛消失,身体机能全部转优。 术后,患者左前纵隔占位逐渐减小 左胸腔未见积液 术后,患者主动脉弓大弯侧外壁光滑 未见内漏 术后第三天,患者各项指标转优









友情链接:
医院地址: 四川省广元市利州区苴国路中段
急救电话: 0839-3333333 0839-3302410
咨询电话: 0839-3300000 0839-3303712(门诊时间:8:00-16:30) 13881210072(夜间及节假日)
投诉电话: 0839-3314229(8:00-17:30) 13881210072(夜间及节假日)
市卫健委纪检组举报电话:0839-3223557
版权©2026 广元市第一人民医院
网站访问量: 18631321 次
![]() 官方微信 |