国家三级甲等综合医院

国家住院医师规范化培训基地

中国科学院赵继宗院士工作站

四川省院士工作站

急救电话:0839-3333333

患者版
您现在的位置:首页 - 新闻中心 - 医院动态

多学科专家联手“拆弹” 成功摘除直径超9cm的巨大嗜铬细胞瘤

发布时间:2021-11-03  来源:泌尿烧伤外科  点击量:248

近日,市第一人民医院泌尿外科联合医院多学科专家团队成功完成一例经腹腹腔镜右肾上腺巨大嗜铬细胞瘤切除手术,为患者摘除一枚直径逾9cm的“炸弹”。术后患者血压、血糖恢复正常,回归了往日的幸福生活。

患者谢女士,49岁 6年前突发头痛,血压增高达220/120mmHg在其他医院住院,头颅CT及腰穿脑脊液等检查未见异常,诊断高血压病,给予药物治疗1年前谢女士突感头痛、心悸,前往其他医院再次住院行冠脉造影未见异常,诊断心肌炎、高血压病,给予药物治疗后有所缓解。

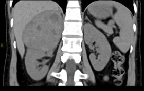
8个多来,谢女士反复胸闷、胸痛、心悸,血压、血糖升高,于2021822日前往市第一人民医院心血管内科住院治疗,头颅、胸部CT检查未见异常。后又腹部增强CT检查,发现右侧肾上腺区见团块状混杂软组织密度影,轮廓清晰,大小约9.5x9.0x9.4cm,CT值约20-40Hu,增强扫描动脉期强化并见多条小血管穿行、囊状未强化影,静脉期呈渐进性强化,下腔静脉推移变窄,右肾受压下移右侧肾上腺区占位经泌尿外科、内分泌科会诊完善相关检查后诊断右肾上腺巨大嗜铬细胞瘤需行手术切除方可根治。

2021110309315201.jpg 

术前CT片

 

多学科联合会诊讨论

由于嗜铬细胞瘤的手术风险极高,且谢女士体内的巨大嗜铬细胞瘤瘤体血液供应十分丰富,手术难度大。为防止术中患者血压大幅波动以及腔静脉血管破裂引发大出血,危及患者生命医务科副科长何兴组织泌尿外科、麻醉科、重症医学科、内分泌科、心血管内科、医学影像科、病理科等多学科联合会诊,经过充分评估,最终决定为患者实施经腹腹腔镜右肾上腺巨大嗜铬细胞瘤切除手术。多学科专家通过讨论,进一步完善术前准备,制定手术预案,确麻醉方式、手术方式、术中应急预案、术后围手术期处理等方案。

2021110309315109.jpg 

术中多学科专家协作

完善术前扩容排除相关手术禁忌,控制血压……做好一系列准备后,20211013日,泌尿外科、麻醉手术护理团队等多学科专家齐上阵,为患者全程保驾护航。术前,麻醉科主任王义带领赵永军主任医师为患者实施麻醉。术中,使用食道超声实时监测患者心脏情况,手术室护士密切配合。泌尿外科主任董文瑞主刀范地兵副主任医师、唐忠荣主治医师通力协助,成功为谢女士实施经腹腹腔镜右肾上腺巨大嗜铬细胞瘤切除手术。

术后经重症医学科、泌尿外科悉心的护理治疗,谢女士血压、血糖恢复正常,顺利康复出院。

 

患者康复出院与医疗团队合影

“感谢你们根除了我多年的顽疾为了表达对医务人员的感激之情,谢女士地送来一面锦旗。

“高超医术除病痛,多科协作攀新峰锦旗上的14个字既是医疗团队技术水平的肯定,更是对医务人员莫大的激励

嗜铬细胞瘤是起源于肾上腺髓质、交感神经节或其他部位的嗜铬组织,这种瘤持续或间断地释放大量儿茶酚胺,引起持续性或阵发性高血压和多个器官功能及代谢紊乱。典型临床表现为阵发性高血压伴头痛、心悸、出汗三联征。手术切除肿瘤为本病的根治措施,腹腔镜微创手术为近年来开展的先进手术方式,取代了传统开放手术,具有视野清晰、创伤小、恢复快的特点。”董文瑞主任介绍道。

肾上腺嗜铬细胞瘤手术属于泌尿外科手术中高风险、高难度手术本例患者右肾上腺嗜铬细胞瘤瘤体大,为巨大肾上腺嗜铬细胞瘤,右侧肾上腺肿瘤与腔静脉粘连,极大增加了手术操作难度及术中风险。该手术的成功实施彰显了市第一人民医院泌尿外科腹腔镜微创治疗技术实力体现了院内多学科团队的协作精神以及多学科协作诊疗模式的优势。


上一篇 下一篇

医院地址: 四川省广元市利州区苴国路中段   

急救电话: 0839-3333333  0839-3302410

咨询电话: 0839-3300000  0839-3303712(门诊时间:8:00-16:30) 13881210072(夜间及节假日)

投诉电话: 0839-3314229(8:00-17:30)  13881210072(夜间及节假日)

市卫健委纪检组举报电话:0839-3223557

版权©2026 广元市第一人民医院

蜀ICP备13011732号-4    川公网安备51080002000042号

网站访问量: 18631321 次


官方微信
#jews_hits("3","$!{id}")