2018年8月13日,我院心胸外科团队成功完成一例危重胸主动脉瘤腔内修复术,安全切除了患者体内的“定时炸弹”。

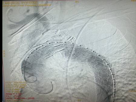
患者头昏乏力、心悸1月,患骨髓增殖性疾病已有6年,入住我院血液内科,检查表示重度贫血。胸部增强CT发现主动脉弓局部明显膨大并瘤样外凸,考虑胸主动脉瘤,大小约3cm×4cm,经心胸外科医生会诊,转入心胸外科,在完善CTA检查后,提示胸主动脉夹层动脉瘤形成,随时存在破裂风险,严重威胁患者生命。

患者的病情就是命令,在紧急情况之下,为保患者生命无忧,心胸外科副主任母存富立即协调相关科室,由血管外科硕士王贤芝医师、心胸外科团队成员在局麻、DSA造影下行“胸主动脉夹层动脉瘤腔内修复术”,参与此次手术的还有麻醉科王义主任、王莉副主任医师,心内科胡永奎副主任医师,介入科李江涛主任、杨华护士长等医护人员。手术过程十分顺利,造影提示瘤体完全封闭、支架无内漏,股动脉穿刺点无渗血。术后患者生命体征平稳,病情恢复良好。

此次,心胸外科团队能成功完成该例胸主动脉瘤腔内治疗,离不开参与手术的每一位医护人员的协作与参与,同时也得益于医院领导的高度重视,高效的运行体制以及相关科室的大力支持。
友情链接:
医院地址: 四川省广元市利州区苴国路中段
急救电话: 0839-3333333 0839-3302410
咨询电话: 0839-3300000 0839-3303712(门诊时间:8:00-16:30) 13881210072(夜间及节假日)
投诉电话: 0839-3314229(8:00-17:30) 13881210072(夜间及节假日)
市卫健委纪检组举报电话:0839-3223557
版权©2026 广元市第一人民医院
网站访问量: 18631321 次
![]() 官方微信 |