2020年11月12日,一场生死较量、与时间赛跑的争锋对决在广元市第一人民医院上演。
12日下午,一名急性胆管炎感染休克的78岁患者被转入市第一人民医院肝胆甲乳外科,患者体温达40.2℃、烦躁不安、意识模糊……生命垂危。
11日晚,患者因突发腹痛被送进附近医院治疗。医院诊断为“胆总管结石伴急性胆管炎、感染性休克”,经20多小时的强力抗感染治疗,病情没有缓解,依然持续高热,最高体温达40℃左右,逐渐出现意识障碍。
该院消化内、外科团队综合评判认为,必须对患者实施开腹手术,解除胆道梗阻,否则病情将会越来越严重,最终死亡。但是,凡大爷又有严重的心肺功能不全,如果行开腹手术,则麻醉关、手术关、术后关,关关要命。
两难之际,该院立即与市第一人民医院普外科取得联系,并在市第一人民医院专家的指导下一边稳定患者血压,一边准备转院。
约1小时左右,患者转送至市第一人民医院。
肝胆甲乳外科主任王少渊立即带领团队评估病情:急性、梗阻性、化脓性胆囊炎,感染性休克,梗阻性黄疸,胆总管结石嵌顿……患者病情危重,时刻面临死亡。
患者为急性胆管炎“五联征”,必须立即手术抢救。但该患者留给医生的抢救时间很短,抢救分秒必争。
然而,患者血压很低,即使采用大剂量升压药物维持也只能达到82/52mmHg,这为手术麻醉带来巨大的考验:如果采用局部麻醉,患者不能耐受;如果采用全麻,病人有容易误吸等风险。
“患者不能配合局麻下手术,现在决定全麻下急诊ERCP手术(经内镜逆行胰胆管造影术)。”患者病情危重,容不得更多时间考虑。危情时刻,手术团队顶着巨大的压力,快速做出“全麻下急诊ERCP手术”的决定。
“手术必须在30分钟之内完成!”为最大限度地减少术中意外,麻醉科副主任医师屈莉也给ERCP团队下达了手术时间限定。
手术准备在持续抗休克治疗中进行。
随即,一场生与死的搏斗,医务人员同时间赛跑的行动激烈展开。
虽然没有刀光血影,但介入室抢救现场的气氛却异常紧张,时间仿佛被凝固,每个人的气息似乎都能听见。
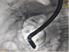
时间一秒一秒流逝,ERCP团队紧密配合,罗建荣医师手握内镜,熟练操作。
胆管插管成功,导丝进入胆管内……
十二指肠乳头切开,脓性胆汁喷涌而出……

(胆管插管成功,导丝进入胆管内) (胆管支架植入,解除胆道梗阻和胆道高压)

(EST术,即十二指肠乳头切开术) (十二指肠乳头切开后见脓性胆汁喷涌而出)
凭借扎实的ERCP专业功底和内镜操作技能,ERCP团队在短短20分钟就顺利完成了ERCP+EST+取石+ERBD+ENBD术,即胆总管造影、十二指肠乳头切开、胆总管末段嵌顿结石取出、胆总管支架植及鼻胆管引流术系列手术操作。
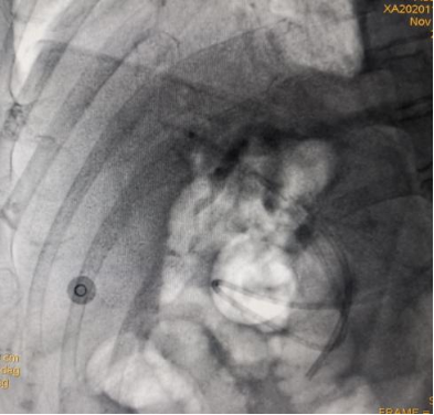
(ERCP术后胆管支架、鼻胆管X光线图片)
随着胆道梗阻的解除,胆道压力降低,患者病情逐渐好转。术后10分钟左右,患者血压就回升至90/60mmHg,烦躁不安症状明显好转,能清晰回答问题,同时体温也逐渐下降恢复至正常。
事后,手术医生罗建荣介绍,他们此次救治的这位病人,是市第一人民医院肝胆甲乳外科开展ERCP技术1年来,遇到的首例处于休克状态下危重病人。这种技术具有创伤小、病人痛苦小、术中耐受度好、手术时间短、住院时间短等优势,相对开腹手术、腹腔镜手术,该技术不会破坏胆总管的完整性。如果没有ERCP技术,遇到凡大爷这样的病人基本无法抢救,因为常规的开腹手术至少需要2小时以上,而腹腔镜手术则需要3小时以上,病人很难挺过常规手术的一道道关口。
市第一人民医院肝胆甲乳外科ERCP技术运用以来,相继开展了胆道结石、黄疸、胰管结石、胆管肿瘤、胆道肿瘤等治疗100多例,打破了医院在没有ERCP技术之前,只能采取开腹手术救治急性胆道梗阻、化脓性胆囊炎伴感染性休克急危重症病人的尴尬局面。此次采用ERCP技术救治急性胆管炎感染危重病人取得的成功,标志着医院ERCP治疗水平进入四川省领先行列。
ERCP即经内镜胰胆管造影术,其适应症包括:
1.原因不明的阻塞性黄疸疑有肝外胆道梗阻者。
2.疑有各种胆道疾病如结石、肿瘤、硬化性胆管炎等诊断不明者。
3.疑有先天性胆道异常或胆囊术后症状再发者。
4.胰腺疾病:胰腺肿瘤、慢性胰腺炎、胰腺囊肿等。
友情链接:
医院地址: 四川省广元市利州区苴国路中段
急救电话: 0839-3333333 0839-3302410
咨询电话: 0839-3300000 0839-3303712(门诊时间:8:00-16:30) 13881210072(夜间及节假日)
投诉电话: 0839-3314229(8:00-17:30) 13881210072(夜间及节假日)
市卫健委纪检组举报电话:0839-3223557
版权©2026 广元市第一人民医院
网站访问量: 18631321 次
![]() 官方微信 |