58岁的王师傅年轻的时候为了养育儿女吃了很多苦,当儿女都长大成人的时候,王师傅的腰也累弯了。近5年来,王师傅逐渐出现腰部侧弯伴疼痛,劳累及行走后症状加重,休息后疼痛缓解,1个月前王师傅腰部疼痛明显加重,伴双下肢小腿疼痛、无力、感觉减退等,王师傅慕名来到市第一人民医院住院治疗。
我院骨科一病区专家陈天健主任医师、薛健康主任医师、黄小俊副主任医师对王师傅的身体状况进行综合评估,经过讨论后确诊为:退变性腰椎侧弯畸形、腰椎滑脱、腰椎管狭窄、腰椎失稳,并一致认为应尽早为王师傅给予相关手术治疗。考虑到手术创伤大、难度高、风险高、费用高等问题,主治医生与王师傅的家属耐心沟通,其子女知晓病情后表示要不惜一切代价治好父亲的“畸形腰、疼痛腰”。

天时地利人和,一切准备就绪,2019年1月7日,骨一科对王师傅成功实施了“经后路腰椎侧弯畸形矫形+钉棒螺钉内固定+腰3/4、4/5椎管切开减压+腰4/5 、骶1双侧神经根探查松解+椎间盘切除+椎间、椎体后侧植骨融合术”,手术历时5小时45分。术后患者恢复良好,腰部侧弯、腰痛等问题一去不复返。
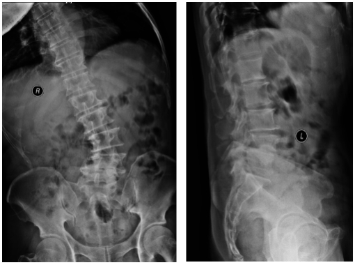
术前影像

术后影像

术后步态

据骨一科主任陈天健介绍,腰椎退变性侧弯是指骨骼发育成熟后,由于脊柱退行性变而引起的侧弯畸形,其使动因素为腰椎椎间盘的退变、关节突的退变。临床特点是随年龄增长而出现的节段性失稳和由此引起的进行性畸形和疼痛,可表现为腰背部疼痛、步行距离缩短、下肢酸痛、麻木,不能久坐久站。对于侧弯角度较大、临床症状较重的患者需手术治疗,手术治疗的方式可以采用选择性减压短节段固定融合和选择性减压长节段固定融合,以恢复患者的腰椎正常曲度和腰椎平衡,重建腰柱的稳定性。
目前在我市,诸如此类腰痛伴严重退变性脊柱侧弯的手术尚未成功开展,它不仅需要高超的外科技术和丰富的临床经验,还需要医患双方齐心协力、统一思想,共同战胜病魔。该例手术的成功开展标志着市第一人民医院脊柱外科的发展又迈上了新的台阶!
友情链接:
医院地址: 四川省广元市利州区苴国路中段
急救电话: 0839-3333333 0839-3302410
咨询电话: 0839-3300000 0839-3303712(门诊时间:8:00-16:30) 13881210072(夜间及节假日)
投诉电话: 0839-3314229(8:00-17:30) 13881210072(夜间及节假日)
市卫健委纪检组举报电话:0839-3223557
版权©2026 广元市第一人民医院
网站访问量: 18631321 次
![]() 官方微信 |